
Tooth fillings are essential for repairing teeth that have been affected by decay, cracks, or fractures. When a tooth becomes damaged, the decayed or affected portion is carefully removed and replaced with a filling material to restore the tooth’s strength and appearance. At M Dental, we offer a range of filling options to meet your individual needs and ensure a long-lasting, beautiful smile.
At M Dental, Dr. Kenneth Meinbach and our experienced team are committed to providing high-quality care with a focus on comfort and long-term results. Whether you need a simple filling or a more advanced restoration like an inlay, we will guide you through the process to ensure you understand your treatment options and leave with a confident, healthy smile.
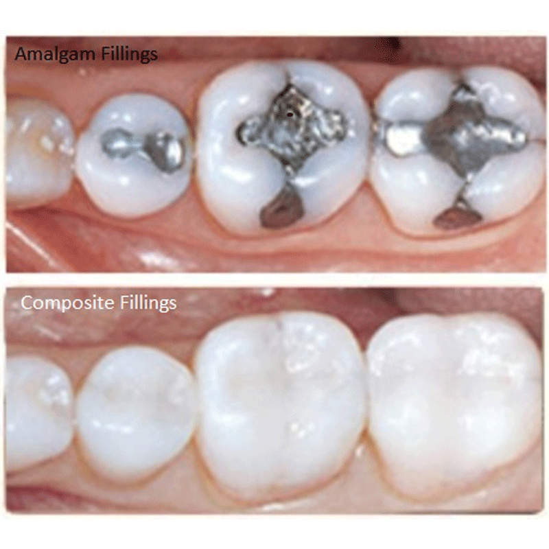
Composite fillings are designed to closely match the color of your existing teeth, making them a popular choice for visible areas of the mouth. In addition to being aesthetically pleasing, composite fillings also bond directly to the tooth, providing additional strength and support.
Benefits of Composite Fillings:
Reasons for Composite Fillings:


For larger cavities or more extensive damage, a composite inlay may be a more appropriate option. Inlays are custom-made in a dental lab and provide extra strength and stability for teeth that cannot support a traditional filling. This makes them ideal for areas that require additional durability and long-term protection.
Benefits of Composite Inlays:
A smile you are proud of is priceless. A 2012 study confirms that people with straight teeth are perceived as more successful, smarter and having more dates. The mouth is a gateway to the rest of your body. Allow Dr. Meinbach to be your teacher, your friend and your partner in providing you with the best dental care possible.
Allow us to help you achieve the smile you’ve always wanted.