
Gum disease is the leading cause of tooth loss among adults in the United States. At M Dental, we prioritize the health of your teeth and gums, understanding that a healthy mouth is essential to your overall well-being. Periodontal disease, or gum disease, affects the tissues and bone that support your teeth, making early detection and treatment crucial to preserving your smile.
Periodontal disease develops when plaque and bacteria build up along the gumline, leading to inflammation, infection, and damage to the soft tissue and bone surrounding your teeth. It ranges from mild conditions, like gingivitis (gum inflammation), to more severe stages, such as periodontitis, which can cause irreversible damage and even tooth loss if left untreated.
Recognizing the signs of periodontal disease early can help prevent its progression. Some common symptoms to look out for include:

Routine dental checkups are essential for the early diagnosis of gum disease. During a thorough dental exam, Dr. Kenneth Meinbach will assess the health of your gums, checking for any signs of inflammation, infection, or bone loss. X-rays may also be taken to evaluate the underlying bone structure and determine the extent of any damage.

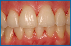
Gingivitis is the first and mildest stage of periodontal disease. During this stage, plaque and biofilm accumulate on the teeth and begin to harden, irritating the gums. If left untreated, this buildup can lead to tender, inflamed gums that may bleed easily, especially during brushing or flossing.
When gingivitis is detected early, it is often reversible with proper care. A professional dental cleaning combined with a strong oral hygiene routine at home may be all that’s needed to restore gum health. If left untreated, however, gingivitis can progress into the more serious stages of gum disease.

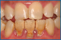
If gingivitis is not addressed, it can advance to Periodontitis, a more severe stage of gum disease. At this point, the plaque on the teeth hardens into tartar, which leads to the recession of the gum line away from the teeth. This process forms pockets between the gums and teeth, which can become infected with bacteria and pus.
Periodontitis can cause lasting damage to the supportive structures around the teeth, including the gums and bone. Treatment for periodontitis typically involves a deep cleaning procedure called Scaling and Root Planing, which removes tartar from below the gum line and smooths the tooth roots to encourage gum reattachment and prevent further damage.

In the final and most serious stage, Advanced Periodontitis, the infection continues to damage the gums, bone, and periodontal ligaments that support the teeth. As the disease progresses, the teeth lose their foundation, become loose, and are at risk of falling out or requiring extraction.
Advanced periodontitis can result in significant tooth loss if not treated promptly. At this stage, more intensive periodontal therapy, such as surgery or bone grafting, may be necessary to try and save the remaining teeth and restore some of the lost bone structure.
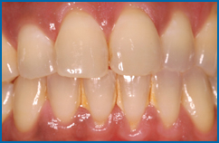
The key to preventing gum disease from advancing is early detection and consistent oral care. Regular dental visits, professional cleanings, and good at-home hygiene practices are essential to keeping plaque and tartar at bay. Brushing twice daily, flossing, and using mouthwash can help prevent the early stages of gingivitis and keep your gums healthy.
If you suspect you have gingivitis or any stage of periodontal disease, contact M Dental today to schedule an exam with Dr. Kenneth Meinbach. Early diagnosis and treatment can help prevent more serious issues and keep your smile healthy for years to come.
A Dental Prophylaxis Cleaning (Prophy or standard cleaning) removes only the soft sticky plaque and calculus that is above the gum line. Scaling and Root Planing is an advanced periodontal treatment that scales or removes contaminated debris, calculus (tartar), and pus loaded with bacteria around and deep below the gum line in the periodontal pockets. During root planing the root surface is smoothed down to prevent more plaque from adhering. For your comfort, you will be given anesthetic to numb a section of your mouth prior to beginning the procedure. Usually if all areas of your mouth are in need of a Scaling and Root Planing, then this type of cleaning is done over two office visits with the hygienist.
The goal of Scaling and Root Planing is to help the sulcus shrink back to an appropriate depth. Controlling the infection is a vital part of the healing process. It is critical you follow all instructions to properly care for your teeth.

Periodontal disease can only be properly diagnosed when a periodontal probing instrument is used to measure the sulcus or space between your teeth and gums. The sulcus should be less than 3 mm deep. A pocket depth of 4 mm or more is a sign that you have gum disease and may mean you have an infection. A pocket depth of 7 mm or more has the highest risk of permanent damage. If you wait to treat your gum disease, it could lead to painful and expensive surgery in the future.
A smile you are proud of is priceless. A 2012 study confirms that people with straight teeth are perceived as more successful, smarter and having more dates. The mouth is a gateway to the rest of your body. Allow Dr. Meinbach to be your teacher, your friend and your partner in providing you with the best dental care possible.
Allow us to help you achieve the smile you’ve always wanted.